近日,兰州大学第一医院心内科张钲教授、白明教授团队采用新型生物可降解卵圆孔未闭封堵器(临床研究),运用微创介入技术对2例卵圆孔未闭伴有头痛、头晕症状的患者进行了经皮PFO介入封堵治疗,每例手术过程约20分钟,成功完成甘肃首例新型完全可降解卵圆孔未闭封堵器介入治疗新技术。

上述两例患者发病根源均为卵圆孔未闭,有卵圆孔封堵手术指征。传统介入封堵治疗均采用镍钛合金金属丝编织而成的封堵器,植入人体后封堵器将永久存留于房间隔,存在少量的过敏和血栓形成、心脏磨蚀、传导系统损伤等远期并发症风险。
随着微创介入技术的发展,房间隔穿刺成为许多介入手术的重要路径。房间隔封堵术后,患者后期需要进行房间隔穿刺操作手术时,金属封堵器的存在会对这类手术的开展产生影响。

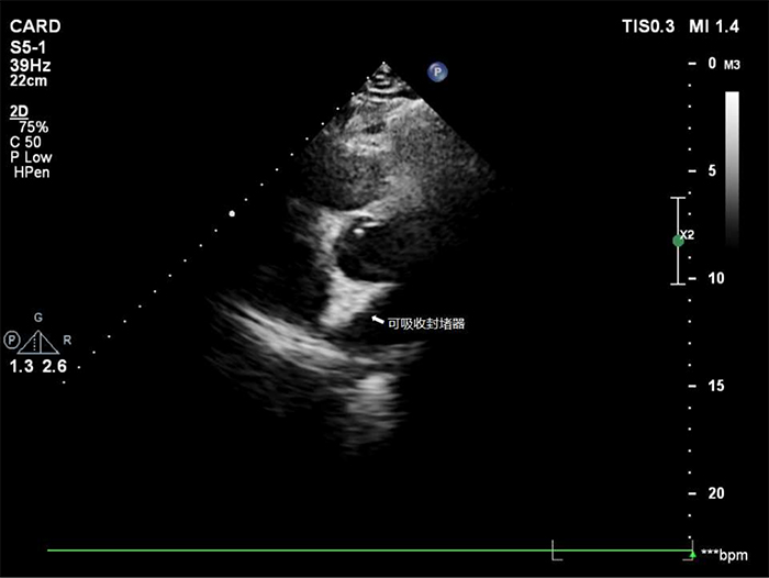
新型可降解封堵器在人体内逐渐降解为二氧化碳和水而被人体吸收,12个月后完全消失,有效的避免了金属封堵器永久存在于体内的一些弊端,为卵圆孔未闭患者带来了新的福音。
据兰大一院心内科介绍,相比传统金属卵圆孔未闭封堵器植入过程中的清晰可视,新型生物可降解卵圆孔未闭封堵器的植入更具难度,在X线下仅可见4个显影点,整个手术在白明教授团队和长海医院心内科秦永文教授的合作下按照预期顺利完成。

患者在术后观察24小时后即已出院,目前一切正常,在治疗上真正的做到创伤小、疗效快、恢复快,同时真正实现了介入无植入。
卵圆孔未闭科普介绍:
卵圆孔是心脏房间隔胚胎时期的一个生理性通道,一般在出生后第3年内闭合,而成年人中约有20%~25%卵圆孔不完全闭合,卵圆孔未闭是目前成人中最为常见的先天性心脏异常之一。近年来,越来越多的研究发现,卵圆孔未闭与不明原因缺血性脑卒中、偏头痛等密切相关。10%~40%的PFO与不明原因脑卒中的发生密切相关。中国每年至少有15~50万脑卒中患者是PFO引起。研究证实,卵圆孔未闭封堵术能有效避免或减少由卵圆孔未闭所致脑栓塞和偏头痛的发生。
文图| 心内科 徐吉喆
编辑|党委宣传部 南如卓玛
甘公网安备 62010202000472号